首页 > 牙齿治疗

根管治疗的步骤

来源:康贝佳口腔医院     阅读量:

  根管治疗是牙髓病和根尖周病常用的治疗方法,它的目的是保留患牙或牙根。很多人对根管治疗都有些印象,但对根管治疗的具体步骤并不清楚,下面康贝佳口腔为您详细讲解。

  【温馨提示】:根管治疗过程中一般会拍摄3-4张小牙片,且可能进行局部麻醉,所以有怀孕计划或处于孕期的女性朋友应尽量避免上述处理。>>>根管治疗会很痛吗?

根管治疗的操作步骤 

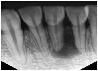
1、术前拍摄X光片

  在根管治疗术前对牙齿拍X光片,以帮助诊断牙齿髓室的位置、根管数目及形态、测量根管工作长度以及为评价治疗效果提供对比的依据。

2、揭开髓腔

  去净腐质和原有充填物、揭净髓顶,看到整个髓底解剖结构以便后续治疗顺利进行。

3、确定根管工作长度

  应用平行投照X光方法、根管长度测量仪确定根管长度,较 好插针拍X片。

4、根管预备

  根管清理成形的目的是去净根管壁上的感染物,通过根管器械的切削作用去除感染的牙本质并清理根管壁细菌以利于根管充填。

5、根管冲洗、消毒

  根管冲洗的目的是清除微生物、冲掉残渣,润滑根管器械和溶解有机残渣。然后,再进行根管消毒,使根管内达到无菌状态。

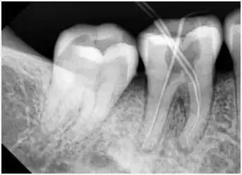
6、根管充填

  封闭整个根管系统、堵塞主根管和侧副根管出口、防止微生物和液体的渗漏。无论是侧方加压法还是垂直加压法,应做到根管充填致密,根管充填后X光片上无根管腔隙,也不能超出根尖孔。

7、根管打桩

  因牙体缺损过多,导致牙的强度(承受力量的性能)大幅度下降,不能很好地承受咀嚼力量。打桩的目的是增加牙根及牙冠的强度,增加患牙的稳固。

8、完成牙体修复

  X光片显示根管充填完好,可进行暂时或永久牙体修复,带上牙冠,保护患牙。至此根管治疗才可算完成,同时根管治疗后还需复诊,一般周期可为3个月、半年、1年、2年或更长。

  一般来讲,对于那些牙髓炎,牙髓坏死,各种类型的根尖周炎都适于做根管治疗。

根管治疗术后注意事项:

  1、根管治疗术并非都是一次完成治疗,牙科医生往往要分2-4次就诊才能完成

  2、由于根管治疗术较繁杂,要求医生必须熟悉牙体结构的解剖知识及熟练操作技术

  3、根管治疗期间或完成后可能出现短暂不适,通常服用消炎或止痛药可缓解

  4、牙齿治疗后脆性较大好行嵌体或冠修复,防止牙齿折裂,延长牙齿的寿命

  >>>关于根管治疗,点击咨询康贝佳了解更多>>>

根管治疗,让牙齿恢复健康

  1、防止牙病的蔓延

  已经有牙髓病的牙齿会继续恶化,不但可致牙髓的坏死,还可能导致牙根尖周围病变,这个过程引发剧烈牙痛。根管治疗可以减轻患者的病痛,并可缩短整个病程,防止疾病的恶化。

  2、保存牙髓及牙尖周组织

  根管治疗的目的,主要是保存牙髓或牙根尖周围组织,使已被侵犯的牙齿仍能以一种良好的健康状态处于它的支持组织中,避免拔除或继续恶化至崩毁的生命。

  3、预防其他的口腔疾病

  根管治疗不但可以消灭清除根管内病菌及其分解物和毒素,并可以治疗牙根尖周围组织的创伤,促使牙根周围组织的修补及愈合,消灭口腔病灶传染的来源。

  4、保存牙列的完整性

  根管治疗可以保持天然牙齿排列的完整性,预防邻接牙齿的移位、蛀牙、牙周病的发生,可以防止拔牙后的支持骨质丧失过多,影响脸型的外观及假牙的稳定性,更由于牙齿的保持可解决若干假牙制作上的困难。另外还可以避免牙齿早期拔除所造成的不正咬合,进而免除矫正治疗的麻烦。

  【温馨提示】:接受了根管治疗后,牙齿会有不同程度的变色、变脆。此时应及时可以给牙齿做一个牙套,避免由于咬硬物而造成的牙齿碎裂。对根管治疗还有疑问?点击咨询康贝佳了解更多。

热点关注/Hot spot更多+