蛀牙专业术语称为“龋齿”。它形成的主要原因是:牙齿表面有一层几乎无色透明的菌斑,当我们口腔内有食物残渣滞留,经过一定的时间后细菌会分解发酵食物残渣,产酸,从而腐蚀牙齿,形成龋齿。

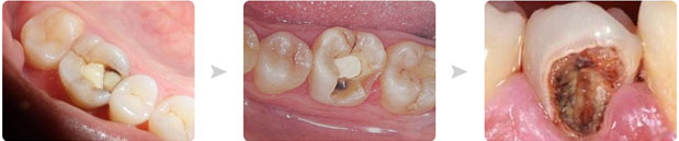
龋齿根据程度不同有三种划分:浅龋、中龋和深龋。

浅度蛀牙:发生在牙齿的珐琅质,不会疼痛,不易观察到有蛀洞。
中度蛀牙:蛀牙蔓延至象牙质,牙齿出现蛀洞,进食时会感到牙齿疼痛。
深度蛀牙:蛀牙蔓延至牙髓,牙齿出现明显蛀洞,产生剧痛。
医师提醒:龋病若不及时治疗,会继发牙髓发炎,引起剧烈疼痛;如还未得到及时治疗,会发展成根尖周炎,引起疼痛和牙龈局部肿胀或相应部位的颌面部肿胀。病变继续发展,形成龋洞,终至牙冠完全破坏消失,导致牙齿缺失。
蛀牙的危害,点击咨询医生
1、3M树脂补牙:如果蛀牙只是对牙齿浅表的蛀蚀,或者形成较小的龋洞,采用3M纳米树脂补牙,先处理牙齿表面的腐蚀性物质,尽快去除坏组织,清洁牙齿。接着将牙齿进行冲洗并干燥,用树脂材料补蛀洞,修复牙齿的形态和功能。

2、美牙冠修复、根管治疗:牙冠蛀蚀已经非常严重,牙髓已经外露,无法拔牙的时候,就可以考虑做美牙冠或根管治疗。

3、微创拔除:对于严重的蛀牙,不仅损坏面积较大,并且出现牙根不稳牙齿松动的现象,牙齿被蛀蚀已没有任何保留价值,可以考虑将牙齿拔除,拔除后需要及时进行镶牙。

较 后强调,蛀牙的形成是一个循序渐进的过程,所以大家一定要养成良好的口腔卫生习惯,预防蛀牙的发生。如果发现已患有蛀牙尽可能的在早期去医院寻求治疗,这样牙齿修复快,疼痛少,也不会面临拔牙的危害。做好牙齿清洁,预防蛀牙建议大家还要养成定期洗牙的习惯,可及时发现蛀牙,并可将危害降到较低。
【温馨提示】蛀牙补牙好还是拔牙好?相信通过康贝佳口腔专业医生的介绍,大家已经有所了解,如果大家还有什么不明白的,或者想要了解更多关于牙齿方面的问题,敬请
点击在线咨询或拨打我们的服务热线400-025-0505,我们会一对一在线诊断,为您进行满意的解答。
康贝佳牙科医生解答:蛀牙该怎么办?