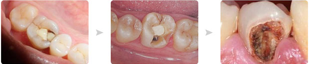
蛀牙学名龋齿,是孩子常见的口腔问题,很多龋齿儿童的家长开始并不以为然,直到孩子出现牙痛的时候才到医院进行就诊,这是龋齿已经很严重了。
南京康贝佳口腔医院医生提醒,龋齿不进行及时治疗,病变就会越来越大,从浅发展到深龋,对冷热酸甜等食物刺激敏感,当损伤到达牙髓,引起根尖炎、根尖周脓肿,甚至颌骨骨髓炎、牙齿脱落缺失,所以患了龋齿病应当及早补牙。
由于牙齿本身没有修复能力,当蛀洞形成后,只能先把蛀洞周围已被破坏的组织去除,再以适当的材料填补进去。这样可以恢复牙齿表面的完整性,同时也能防止蛀牙的继续发展。这种治疗的方式称为牙体复形,俗称补牙。

轻中度龋齿可通过及时补牙来控制和防止再感染,补牙前一般要对牙齿的腐蚀组织进行杀菌处理,然后再进行填充。严重的龋坏单靠补牙解决不了问题的,就需要做根管治疗或者烤瓷牙,无保留价值的情况甚至需要拔除。
南京康贝佳口腔医院引进的美国3M纳米树脂补牙技术,美国3M独有的纳米技术复合树脂,具有半透明性,且具有乳光色泽,和真牙颜色及其相似,补完牙后几乎看不出牙齿曾经缺损过,而且补完后可以立即吃东西。

1、良好的耐磨性:载量高于普通树脂,具有较好的耐磨性能,其粘稠度同时适于前牙和后牙,边缘充填密合。
2、表面光滑完整:区别于传统的大于1微米的普通材料,具有抛光保持性,可以长期保持表面光亮度。
3、恢复自然外形:色泽逼真、有质感,使补过的牙齿更接近自身牙齿,与天然牙协调一致,美观性佳。
儿童时期是蛀牙发病率非常高的阶段,远离龋齿一定要从预防做起。如果发现已患有蛀牙尽可能的在早期去医院治疗,这样牙齿修复快,疼痛少,也不会面临拔牙的危害。

1、要让孩子从小养成早晚刷牙的习惯,牙刷要选择软毛的小牙刷为好,刷时要竖着顺牙缝刷,上牙由上往下刷,下牙由下往上刷,一定不要横着拉锯式的刷。
2、定期做牙齿保健,当孩子两岁也就是乳牙长齐后,应该每半年带孩子去检查一下牙齿,并且处理乳牙上的积垢,还要在局部做氟化物处理,为的是更有效的预防龋齿。
3、吃糖要有节制糖很容易被细菌分解而产生酸,小孩子的饮食多数都是甜的,所以家长对孩子吃糖要加以限制,吃糖的时间非常好不要超过半小时。
温馨提醒:南京康贝佳口腔医院是一家极有影响力的口腔专业医院,先进的医疗设施,高档舒适的诊疗环境,资深的牙科医生,人性化的诊疗服务;竭诚为社会各界提供优质、安全、高效、便捷的口腔医疗服务。
如您想要了解更多关于牙齿方面的问题,敬请点击在线咨询或拨打我们的服务热线400-025-0505,我们会一对一在线诊断,为您进行满意的解答。