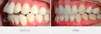
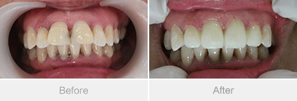
“龅牙”是一种较为常见的牙颌面畸形,龅牙不仅影响口腔咀嚼功能,更影响容貌美观,甚至让人产生自卑心理!
康贝佳三大主流矫正,矫正龅牙,重塑完美脸型!
隐形矫正
不仅继承传统牙颌畸形矫治理念;更是一套改善牙颌面畸形,铸就容貌美的正畸系统。


1、突破传统正畸,预知矫治效果,儿童和成人均可进行。
2、三维图像定位颅面骨性标志点,准确扫描。
3、每个阶段只发生精准的微小位移,稳定移动,防止牙齿松动。
3M自锁托槽矫正
利用托槽和弓丝准确把握牙齿移动方向,帮助恢复牙齿的排列,被称为高性价比的矫治方式。

1、比一般传统的正畸时间短,复诊时间少。
2、坚持使用恒定轻力,保护青少年娇嫩的牙周。
3、矫正后牙弓整平,矫正效果更稳定。
快速矫正
为满足快速达到牙齿整齐人群需求,美牙冠是很好的选择。它更强调牙齿的美容效果,对错位牙、畸形牙的临床冠部分施以专业手段,最后用牙冠加以修复。

1、过程轻松,不伤牙龈、牙根,不拔牙。
2、VITA比色技术,色泽自然。
3、高效美牙,短短几天即可完美蜕变。
4、牙齿坚固耐用,效果持久。
康贝佳不止为你带来整齐的牙齿,也令整个容貌更协调。



康贝佳正畸团队汇聚一批专业资质认证的医师,拥有丰富的临床经验,他们将医学与美学完美融合,实现矫正牙齿的同时,重塑美丽笑线和脸型。