对镶牙技术很多人都不是很陌生,镶牙是口腔修复技术中较为常见的一种方式,主要针对牙齿缺失,缺损等问题进行修复。不过,可能即使做过镶牙的人也不是很清楚镶牙的种类和材料有哪些吧?下面针对镶牙材料的相关问题,康贝佳口腔医师为您解答。

金属烤瓷牙、金属合金是镶牙常使用的材料,分为贵金属(如金合金)、半贵金属(如银合金)和普通金属(如镍铬合金)。"镍铬合金"目前的应用存在一些争议,因其使用一段时间后因金属氧化,会出现牙龈发黑等问题,易引起身体健康问题,所以有些规范的门诊都已经停止使用。
全瓷牙是颜色,质地接近天然牙的一种较理想的修复材料。也是目前应用于缺牙的固定修复或前牙美容性修复广的材料。》》》在线咨询全瓷牙修复多少钱?
康贝佳口腔作为高端的口腔服务连锁品牌,率先引进二氧化锆全瓷牙技术,该技术以其完美的美学效果和考究的耐受能力,成为影视明星们的钟爱美牙方式之一。
现在,二氧化锆全瓷牙作为全瓷牙完美升级技术,在注重牙齿美观的前提下,更强调牙齿结构天然、完整,与口腔各部的高度生物相容,利用健康环保的仿生材料,塑造与真牙一样美观自然的牙齿,让你轻松绽放靓丽笑容。》》》点击此处,了解更多二氧化锆全瓷牙
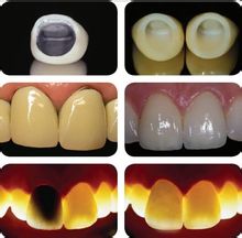
1、无厚重感:二氧化锆全瓷牙牙龈边缘无黑线,无厚重感,无牙龈红肿出血现象,更无不良金属离子渗出影响健康,让你真正感觉到烤瓷牙是从你自己的牙龈里长出来的。
2、美观逼真:全瓷牙与真牙相匹配的透光性,不再有在灯光下青牙闪闪的尴尬。美观逼真,永久不变色,在外人看来会跟真牙一样。
3、超强抗压强度:二氧化锆原为宇航材料,完全不必担心瓷崩裂的现象。可以有足够的力量来承受口腔内的咀嚼力,耐磨耐用。
1、镶复缺牙:牙齿拔除后,利用缺牙前后的牙齿做固位牙,加上缺牙将几个烤瓷牙冠连在一起,将其粘固在固位牙上,便可以镶复缺牙。
2、矫正牙齿发育异常:如过小牙,牙间隙宽,个别牙不齐,釉质发育不全等,通过烤瓷修复后可以把牙齿的形态、颜色恢复到理想状态。
3、牙齿治疗后修复:牙髓治疗后易造成牙齿变色,补料脱落及牙齿折裂,选用二氧化锆全瓷牙修复可避免。
4、变色牙美容:如四环素牙、氟斑牙、死髓牙等。
温馨提示:以上就是关于镶牙材料的具体的介绍,为了您的口腔健康以及镶牙效果着想,一定要选择正规专业的口腔医院镶牙。如果您还有什么疑问,可以点击在线咨询或拨打咨询热线:400-025-0505。
热点关注/Hot spot更多+