南京用美牙冠整形牙齿贵吗?南京口腔医院医生表示说,日常中要是大家的牙齿出现发黄发黑的迹象,牙齿不整齐 ,横七竖八的,那么就会觉得很尴尬,而且不愿意开口进行说话,因此大家都会寻找一种更好的方法改善这种现象。那 么美牙冠牙齿整形价格多少?美牙冠牙齿整形是很理想的方法。

康贝佳口腔医师强调:牙齿美容修复是综合性学科,在单纯的口腔修复基础上,辅以口腔美学理念,对排列不齐、缺 损、颜色发黑变黄的牙齿进行医学修复,使其在功能上恢复正常咬合,外观上与面部其他器官协调,富有美感。
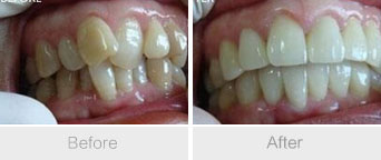
首先,美牙冠牙齿整形对各种不整齐、牙齿发黄的情况都十分有效。而且使用的这种美牙冠材料都是经过高温提炼 的,所以有很高的强度,当然使用的材料也都是很安全的物质,在修复牙齿后不会对口腔造成任何的刺激,颜色也很接 近真牙。
其次,针对牙齿的各种先天缺陷或头天缺损所带来的自信微笑的遗憾,美牙冠牙齿整形是一个非常不错的方法,它 不仅可以有效地对牙齿不整齐进行修复,而且对牙齿发黄也有着非常好的治疗作用,因此受到很多人的亲睐。
美牙冠矫正牙齿的原理:
详情点击在线咨询医生
美牙冠技术是先流行于欧美国家的一种牙齿美容技术,它深受年轻男女的喜爱,有着“美牙王牌”的称号。在传 统烤瓷牙的基础上强调牙齿的美容效果,对错位牙、畸形牙的临床部分施以多重专业技术,效果更为美观、持久。美容 冠具有美牙不拔牙,苦,时间短,牙齿坚固,多年后牙龈不会出现黑线等优点,可达到终生有效果的美牙效果。目 前临床上还没有发现有什么不良反应,是修复牙齿不错的选择。

美牙冠相比矫正器具有很大的优势
第一,采用3D数码定位技术,对牙列的机构进行分析、确定牙齿的较佳咬合形态,采用vita比色技术成型牙齿更美 观、大方。
第二,美牙冠矫正采用美国的碧兰麻技术,全程,这也避免了传统带牙套疼痛难忍的状况。
第三,“美牙冠”矫正在保证整体达到较佳咬合状态的情况下,有选择性的修复,牙齿矫正,不需要像正畸矫正一 样,必须做全口。
第四、美牙冠技术不拔牙安全。美牙冠矫正牙齿具有美牙不拔牙,苦,时间短, 无论固位和牙体的保护等优点,从而达到美牙效果。美牙冠牙齿美容技术采用新数码科技,确切分析你的牙齿形态以及病症,再采用德国3D数码定位系统,由专业的美容牙医为你设计美牙方案,矫治后的牙齿美观大方。

市民信赖的医院——南京康贝佳口腔医院:
南京用美牙冠整形牙齿贵吗?南京康贝佳口腔是一家大型的专业口腔医院,医院设有牙齿美容、牙齿美白,牙齿矫正 、牙齿种植、综合口腔疾病治疗、儿童口腔为一体的数字化口腔专科医院,全心致力于口腔疾病的诊治和研究。南京医 院口腔中心技术力量雄厚,医疗设备先进,医生技术,全程一对一服务,无需挂号,享受咨询、检查,为每一 位求美者建立私人口腔档案,根据病人的情况进行系统的跟踪诊疗服务。家庭式的就医环境,温暖、舒适、轻松享受治 疗全过程,是南京享有盛誉的口腔医院,是南京市民放心的口腔的医院。
南京用美牙冠整形牙齿贵吗?这是根据个人的实际情况来做选择的。对大多数消费者来说,做牙齿修复美容多少钱 是影响其决定的一个重要因素,实际上,做美牙冠修复的一个大的好处之一就是它的价格很接近大众化消费,是个人 都能承受的范围。
热点关注/Hot spot更多+