①含食醋

容易导致牙齿表面受酸蚀作用而发生脱矿

    ②涂柠檬汁

进食冷或热食时牙齿常感觉到酸软、疼痛

    ③美白牙膏

只限于牙齿表层清洁,对牙石不起任何作用

利用超声波产生的高频、高能振动,去除牙齿上的结石、烟渍和茶斑,是一种高效,卫生,方便的洁牙方法,在临床中得到广泛应用。

优点:不伤牙齿、成熟可靠、健齿除菌、方便快捷

使用特制的喷砂牙粉,通过喷砂机头喷向牙面来去除牙菌斑和色素,它可以全面完成消除牙齿上的细菌,同时也有抛光亮洁的作用。

优点:安全舒适、彻底清洁、高效亮白、效果持久

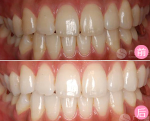
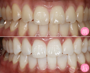
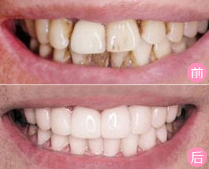
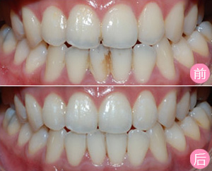
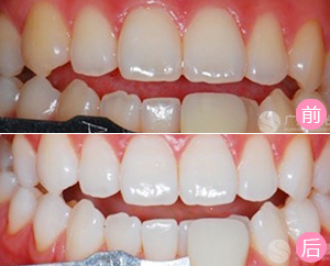
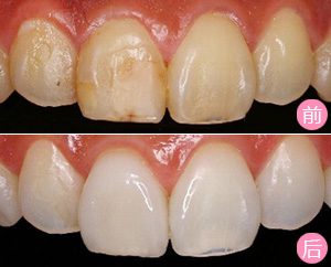
    案例展示

建议是每半年到正规医院口腔洗牙一次,吸烟者应每隔三个月洗牙一次哦。

严格按照世界卫生组织WHO推荐及认可的洁牙流程操作。

德国原装进口牙科综合治疗台、美国先进STA无痛麻醉系统。

采用目前较为先进的洁牙系统(超声波洁牙+喷砂洁牙)。

快速清除菌斑,牙石及色素沉着,效果显著,亮白持久。

整个洁牙治疗过程安全、快速、令人愉悦,没有任何不适感。